(916) 442-8911
CALL TODAY!
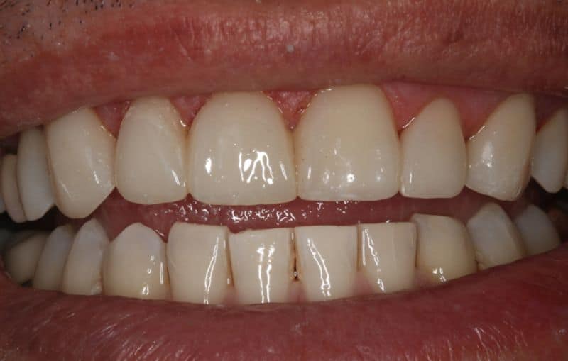
Click a photo below to view the before and after photographs and to read the client’s story.